虎牙矫正的最好方法虎牙怎么矫正

相关图片

我牙齿最大问题就是虎牙移位了,本来打算做隐形矫正,_圈子-新氧美容

求助骨性地包天16度牙排列拥挤虎牙矫正后上牙会代偿性前倾变成小龅牙

如图,左边的虎牙是4年前摔断了半个,然后牙神经拔掉了,右边的门牙是小

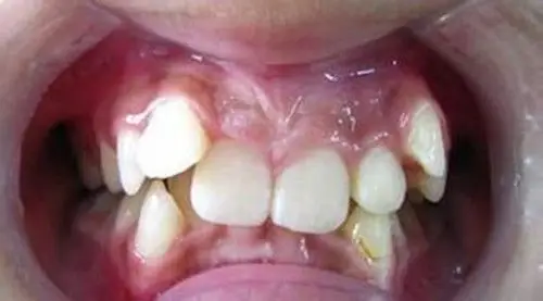
可以看到她的牙列非常拥挤,前牙错位,虎牙上翘,中线不齐,严重影响咬合

我的虎牙可以拔掉吗?

随机推荐

杨旭文紫川路透8p 09 紫川秀无剧透路透8p 还是调整了的尺寸 比

有种"偏心"叫蒋依依爸妈,上帝吻了她的脸蛋,却关上姐姐的窗户|关晓彤

天津酒吧推荐——不踩雷必打卡玩儿playerhiphopclub_夜场

孙红雷回归"极限挑战"放狠话给导演"你有这个实力吗"真霸气!

萌娃女生可爱嘟嘴头像 2021最新女生嘟嘴可爱嘟嘴头像

蔚蓝色的大海

黄明昊[超话]##justin黄明昊密室大逃脫#【q版】蜜桃贾真实帅气与

怪盗基德头像 宝子们这是刚出炉的基德帅气头像(我是名柯粉)有需要的