如果女死刑犯在行刑前发现怀了身孕,会被如何处理?

相关图片

吸毒致幻杀害父母女儿又伤6人男子被执行死刑前连抽两支烟亲人拒见

科威特07年后首次执行死刑现场画面(组图)

死刑犯枪决时为何一定要跪着除了防止逃跑这两点才是主要原因

法医处理枪毙后死刑犯尸体

千万富翁被执行死刑 临刑前20小时曝光

随机推荐

论不服老只服贾静雯,黑色字母丝袜搭配修身西服大秀制服风采!

毛晓彤紫色长裙优雅写真桌面壁纸

朋友圈背景图ins好看的qq封面图

【宋亚轩reaction】小宋老师微博初探索心得:首先解决了我换壁纸的

冰蓝色铃兰花,幸运精灵的化身

魔术头巾秋冬男女士防晒面巾遮脸围脖头套保面罩围巾骑行钓鱼装备

正文福州回应"豪华活人墓": 这是在福州市仓山区南三环快速路附近山上

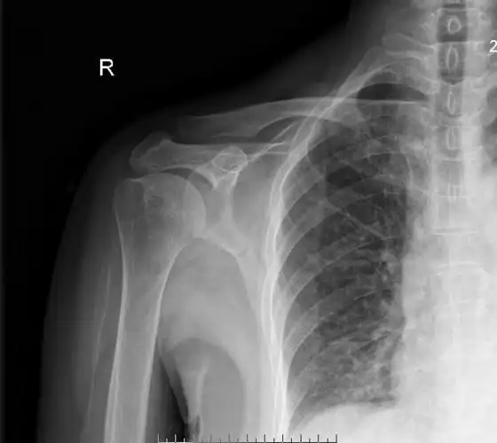
中西医结合治疗右肩胛骨粉碎骨折气滞血瘀