刘宪华henrylau

相关图片

刘宪华的腿好直

刘宪华机车风酷帅写真图片

刘宪华的时尚大片公开!

刘宪华加盟舞蹈风暴多面综艺感助力起舞盛宴

henry(刘宪华)

随机推荐

性感好身材# 毛晓彤皮肤白皙,双腿修长,这样出众的身材使得她在匆衣

2021精选男发17款,越剪越时尚,想不帅都难|发型|圆寸头|飞机头|短发

邱淑贞

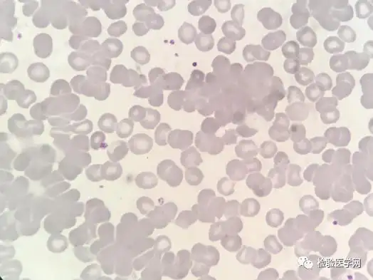
面对一份「高冷」的红细胞凝集标本,你会如何处理?

王玉雯在上海出席电影活动,一身大红色礼服尽显优雅魅力

关于温柔到骨子里的文案背景图 温柔到爆的神仙文案背景图大全精选

蓝黑色

好看的空调披肩钩编图解#钩针编织 #毛线编织 #编织图解 - 抖音