二十四节气立春东风化雨逐西风大地阳和暖气生

相关图片

立春

立春

立春图片海报文案大全,正月十四立春朋友圈抖音配图祝福吉祥语

卡通男孩和女孩玩荡秋千游戏立春手绘插画9952191图片免抠素材

立春啦,您的健康计划制定好了吗?

随机推荐

易烊千玺/手写/自制/壁纸

可甜可盐 又a又飒 硬朗帅气的寸头咩~@杨洋

宋雨琦机场私服##宋雨琦回国录奔跑吧

思美人 屈原 马可

卡通姐妹头像一左一右

肤白貌美大长腿的美女小姐姐真是太养眼了

品牌巨头实力新锐齐聚sfe2024连锁加盟趋势等你来探

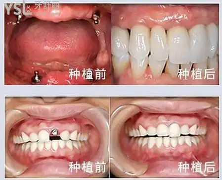
上海百仕口腔顾客种植牙效果图