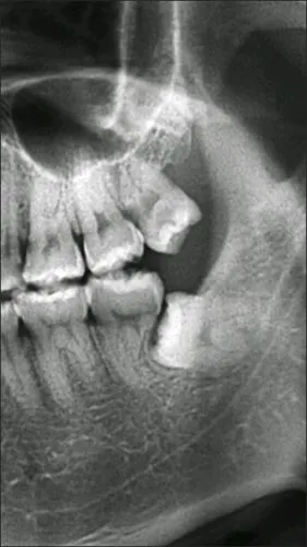
在我们口腔医学上专业的称之为-----第三磨牙,请看下图:下颌阻生智齿

相关图片

右下第二磨牙

【病例分享】下颌第二磨牙根管治疗术后"印章法"树脂充填1例

图3-35 恒牙概貌及名称-口腔颌面及颈部临床解剖学-医学

水平低位埋伏下颌第二磨牙的正畸牵引治疗:附1例报告

下颌第二磨牙c3型弯曲根管一例

随机推荐

杨超越小时候是单眼皮,婴儿肥,真是女大十八变,现在眼睛圆圆的,真是

周笔畅蝴蝶流光裙轻盈灵动举手投足彰显大气

nx 帮助革新儿童个性化手臂假肢的远程开发 | siemens software

风景壁纸,高清,海洋,摄影,海浪,自然风光,壁纸,1920x1080

4月18日,《2018中国好声音》年度总冠军旦增尼玛全新单曲《问》正式

那些好看的男孩子二次元头像

t-72m2改进型坦克亮相 升级之后依然弱点多多

高跟鞋气质搭配,轻松营造魅力女神范