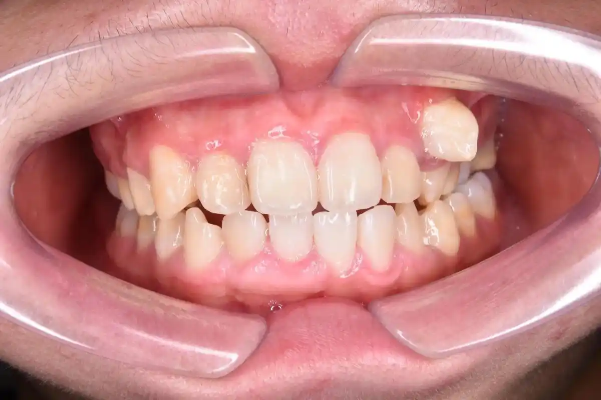
虎牙又叫犬齿,是一种常见的畸形牙,指唇侧错位的尖牙(上颌的两颗单

相关图片

尖牙"虎牙"长歪了,经常有被误拔或被要求拔除,除非特殊情况, - 抖音

这四颗牙齿就是虎牙,更正规一些的名字就是"犬齿"

医生通常都不会拔除虎牙,而是选择拔除其他牙齿的原因

吸血鬼假牙小虎牙僵尸牙齿尖牙万圣节化妆舞会装饰cos派对 道具

顶上的"虎牙"是小时候怕痛不敢摘掉长出的新牙

随机推荐

图片,星空,蓝,梦幻,天空

邓丽君的两首歌串起了黎明和张曼玉的重逢,《甜蜜蜜》的神结尾让人

《家有儿女》和《武林客栈》有什么异同点?

吴谨言获华鼎奖古装题材最佳女演员奖白裙优雅气质清纯

"-大众点评移动版

手绘个性成熟知性女生头像_女生微信头像_头像屋

日系人体比例练习动漫人物入门训练

十万个为什么为什么胖虎在剧场版里会变得很可靠