小儿肺炎,肺部图片

楼主cht6242013-10-27 13:39:23孩子7岁,10月15日儿童医院诊断肺炎

图片尺寸324x450

儿童肺炎(支原体肺炎)

图片尺寸1440x1080

得了小儿病毒性肺炎怎么办-保健养生-在线问医生

图片尺寸480x270

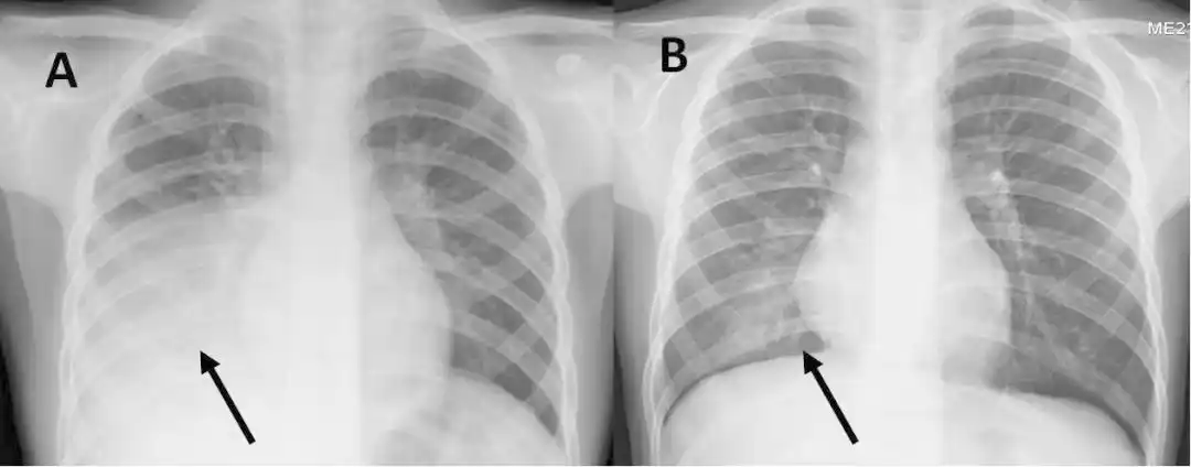
这几组患儿胸片是肺炎还是正常影像规培医师懵了

图片尺寸957x524

新生儿肺部常见疾病的x线诊断2 新生儿感染性肺炎 男,3天.

图片尺寸1080x810

音不对称或者中细湿啰音那肯定得拍张胸片以确定肺部感染的范围和程度

图片尺寸1080x424

儿童肺炎症状

图片尺寸810x1080

小孩四岁发烧不退诊断为肺炎,帮忙看下两次片子是否好了

图片尺寸780x1052

照胸片是检查什么 - 抖音

图片尺寸1312x1080

一岁 肺炎

图片尺寸2048x1536

肺炎病人的护理ppt

图片尺寸1080x810

小儿支气管肺炎的介绍

图片尺寸418x356

小儿呼吸道合胞病毒肺炎

图片尺寸500x338

请教:6岁,胸片上肺炎,站立位和躺着拍的范围为什么不一样呢

图片尺寸640x696

双胞胎反复肺炎的原因,及下一步处理. [病例帖]

图片尺寸780x1040

柳河县医院儿科近两年诊治125例大叶性肺炎总结

图片尺寸1440x1080

宝宝一岁支气管肺炎

图片尺寸768x1024

新生儿30天得肺炎,现在在妇幼icu,这是胸片,很严重吗

图片尺寸400x400

【育儿学堂】小儿支气管肺炎(下篇) ----治疗与护理

图片尺寸1080x455

中医院放射科带您解读小儿肺炎

图片尺寸1738x1592