牙齿矫正龅牙

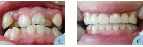
苏州成人龅牙矫正需要多少钱?

图片尺寸537x156

解答龅牙牙齿矫正需要多少钱以及龅牙做矫正是否有用!

图片尺寸500x306

谁知道龅牙矫正后能改善齿性龅牙下巴后缩吗?怎么矫正好

图片尺寸1100x734

龅牙怎么办?_牙齿整形_第一整形美容网

图片尺寸500x409

深圳五洲医院歪牙误诊成"龅牙" 错过牙齿矫正时机

图片尺寸500x327

龅牙露龈笑牙齿矫正案例

图片尺寸1134x1506

大龅牙做牙齿矫正是传统矫正好还是隐形矫正好

图片尺寸640x426

龅牙有什么危害?

图片尺寸550x182

桂林正畸龅牙77牙齿拥挤

图片尺寸1280x1920

矫正完后牙齿侧面看龅牙而且嘴秃了我家人都这么说不知道这算不算拔牙

图片尺寸1539x2048

重庆牙齿矫正经历分享贴龅牙妹子的完美蜕变

图片尺寸1063x797

龅牙怎么矫正_雅康口腔医院-南京牙齿种植-南京牙齿矫正-南京儿童牙科

图片尺寸358x220

骨性龅牙矫正一年半啦,来组对比照

图片尺寸570x689

龅牙矫正的方法有哪些?

图片尺寸1600x1066

龅牙牙齿矫正的费用不是一成不变的,普通的成人金属矫正费用在5800元

图片尺寸474x355

上牙的快要收完了,我觉得还是有效果的,#龅牙 #矫正牙齿 第一张图

图片尺寸1080x1080

2年牙齿矫正经历分享龅牙变整齐了脸型却发生了这些变化

图片尺寸640x382

和牙性龅牙有何不同?怎么才能矫正?_牙齿

图片尺寸690x350

杭州龅牙矫正

图片尺寸480x300

骨性龅牙和牙性龅牙有什么不同

图片尺寸580x435