种植牙后的图片大全

六颗种植牙两个月反馈

图片尺寸1080x1073

单颗牙缺失用iti亲水钛锆骨水平33mm种植体1次手术微创种牙

图片尺寸671x404

这些都是广州暨大穗华口腔荔湾院区的半全口种植牙病例

图片尺寸600x400

门牙折断,种植牙修复案例分享

图片尺寸1080x719

种植牙 3后.jpg

图片尺寸604x909

种植牙全口牙需最少种多少颗植体听说上下6颗植体就能搞定

图片尺寸400x264

种植牙前后对比图

图片尺寸600x450

种植牙即刻负重 修复完成一例

图片尺寸1428x1070

种植牙有后遗症出现这些状况要知道怎么处理

图片尺寸500x600

植入4颗恢复半口牙all-on-4种植是医院代表性的种植牙技术之一,在

图片尺寸500x333

退休老伯种植牙术前术后对比组图

图片尺寸600x238

后牙种植

图片尺寸700x466

六颗种植牙两个月反馈

图片尺寸1080x1073

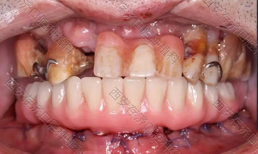
西安存济口腔医院口腔种植科舒适化下all-on-6下半口即刻种植固定修复

图片尺寸1288x771

26岁做了种植牙我好后悔种牙后痛到绝望种的牙3年就坏了

图片尺寸640x480

种植牙病理分享

图片尺寸1620x1080

种植牙案例-马先生

图片尺寸2000x1333

牙齿种植术后180天_种植牙术后180天_牙齿美容术后180天_悦mer

图片尺寸500x889

其它 我的美篇 我院自开展种植牙手术以来已经成功完成上百例

图片尺寸618x896

种植牙一期术后照片

图片尺寸470x334