肩关节穿胸侧位

12种关节腔穿刺方法你都掌握了吗

图片尺寸960x724

肩关节x线检查特殊体位

图片尺寸960x720

嘱受检者肩部自然下垂,双肘部屈曲,手背置于髋部,肘部前推使两肩蔡

图片尺寸1080x608

肩关节x线检查特殊体位

图片尺寸960x720

肩关节的摄影体位

图片尺寸800x600

肩关节x线检查体位大全

图片尺寸536x564

肩关节x线检查体位大全

图片尺寸1885x1288

肩胛骨投影于肺野之外.3. 肺尖充分显示.2.

图片尺寸1080x608

肩关节x线检查体位大全

图片尺寸1822x1494

山西省首例反式肩关节置换术由向川主任团队成功开展 - 好大夫在线

图片尺寸599x284

关节穿刺各关节腔穿刺方法技巧大全

图片尺寸640x439

肩痛康复肩关节损伤影像诊断技巧

图片尺寸620x567

肩关节x线检查体位大全

图片尺寸613x467

收藏x线摄影技术胸部正侧位摄影标准摆位图文解析

图片尺寸1080x608

嘱受检者肩部自然下垂,双肘部屈曲,手背置于髋部,肘部前推使两肩蔡

图片尺寸1080x608

肩关节x线检查体位大全

图片尺寸1822x1490

摆好姿势,让我们一起为做胸穿的医生打call吧!

图片尺寸550x223

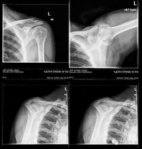
肩关节疼痛肩关节正侧位平片未见明显异常

图片尺寸3264x2448

肩关节x线检查特殊体位

图片尺寸960x720

不同肩关节x线投照位

图片尺寸720x540

猜你喜欢