上颌尖牙图片

双侧上尖牙开窗牵引

图片尺寸3616x2410

口解二 上颌尖牙 上颌尖牙位于口角处,介于切牙和前磨牙之间~牙冠由

图片尺寸1280x1280

导语:上颌尖牙埋伏阻生是临床上较常见的错颌畸形,其病因复杂,类型多

图片尺寸640x383

上颌切牙尖牙的解剖特征与根管预备的策略

图片尺寸694x312

拔除上颌两颗双尖牙改善开唇露齿 - 好大夫在线

图片尺寸1131x742

上颌第一双尖牙3牙根屈晓兵

图片尺寸620x620

上颌尖牙牙体形态简述

图片尺寸800x600

他那严重扭转的上颌尖牙正过来了吗?(原创)

图片尺寸500x396

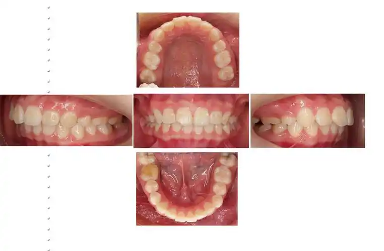
4毫米; 上排术前:牙齿拥挤,后牙咬合关系不佳 矫治通过减数4颗双尖牙

图片尺寸1884x1522

各牙髓腔形态 上颌尖牙 maxillary canine your site here

图片尺寸1080x810

阻生尖牙的拔除

图片尺寸5184x3456

上颌第一双尖牙3牙根

图片尺寸620x620

上颌尖牙牙体形态简述ppt

图片尺寸1080x810

上颌尖牙(上3)如此复杂?学习了

图片尺寸560x958

上颌尖牙牙体形态简述8ppt学习课件

图片尺寸920x518

虎牙,指唇侧错位的上颌尖牙,是一种常见的畸形牙,它突出于牙弓之外

图片尺寸331x236

上颌尖牙越位患者的x线摄片原创

图片尺寸500x346

埋伏阻生尖牙的"开窗"牵引助萌

图片尺寸469x327

上颌尖牙牙体形态简述ppt

图片尺寸1080x810

尖牙,上,下,左,右共有4颗,包括左右对称的上颌尖牙和下颌尖牙.

图片尺寸692x461