小儿肺炎胸片图片

典型的小儿胸片结果已公布

图片尺寸1142x1504

读片小儿胸片

图片尺寸1536x2048

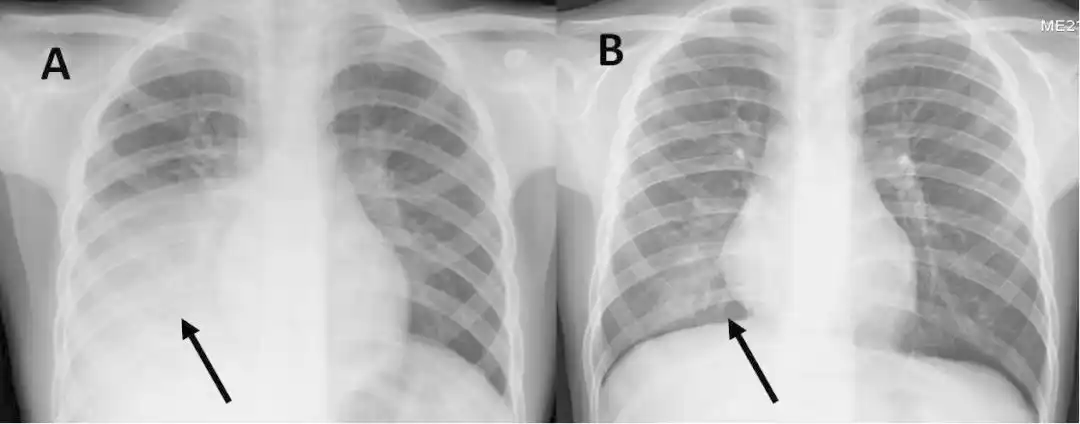
【讨论】两例患儿的胸片

图片尺寸1164x545

小儿呼吸道合胞病毒肺炎

图片尺寸500x338

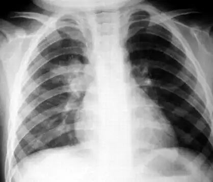
新生儿30天得肺炎,现在在妇幼icu,这是胸片,很严重吗

图片尺寸400x400

孩子为什么要拍胸片

图片尺寸1080x424

孩子3周岁多点,支气管肺炎入院治疗,6天后,孩子明显好转,医生依然让

图片尺寸768x1024

新生儿肺纹理粗不一定是肺炎,有可能是:新生儿湿肺

图片尺寸830x358

请各位大夫帮看看,孩子这个胸片正常了吗?还需要继续吃药吗?

图片尺寸324x450

请教:6岁,胸片上肺炎,站立位和躺着拍的范围为什么不一样呢

图片尺寸640x696

大家来看看这张小孩子 的胸片

图片尺寸3264x2448

(详细讲解肺炎胸片和最新病案~)

图片尺寸1080x760

儿童肺炎时胸片怎么看呢

图片尺寸692x691

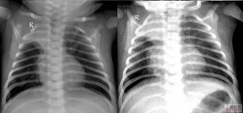
小孩得了肺炎,我们在日常中该如何护理呢? 正常胸片

图片尺寸1080x455

支气管炎改变这个词往往都是在影像学报告上所说的,就是说从胸片

图片尺寸1890x2481

小儿支气管肺炎的诊断

图片尺寸418x356

用了退热贴,就降下来了,第二天去医院,拍的胸片医生说严重支气管肺炎

图片尺寸768x1024

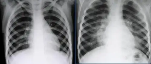
这几组患儿胸片是肺炎还是正常影像规培医师懵了

图片尺寸957x524

中医院放射科带您解读小儿肺炎

图片尺寸1738x1592

胸片可见两肺弥漫炎性渗出影,因此诊断为小儿支气管肺炎

图片尺寸1200x900