ct平扫 三期增强,这个纵隔占位有点难 [病例帖]

相关图片

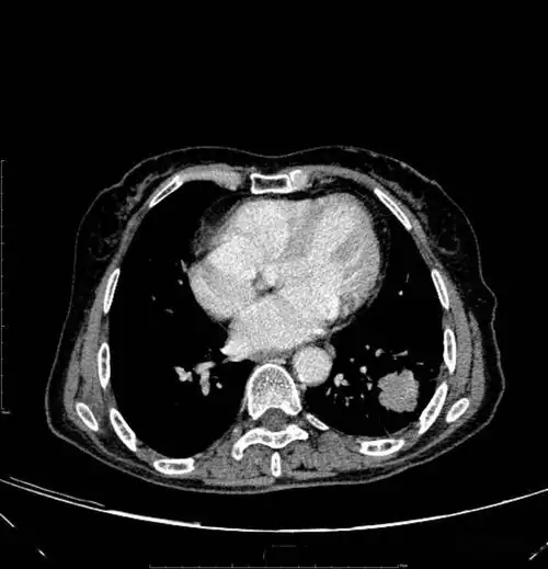
图片是患者ct平扫和多期增强扫描(动脉期,静脉期,平衡期或延迟期)的

胸部ct平扫

pet ct=真相!_病变_玻璃_显示

胸部ct平扫图片金典

【读片】右下肺结节ct平扫 增强,病理结果已公布. [病例帖]

随机推荐

这两款游戏玩家水火不容,相互骂了9年没有停)

tfboys组合于2013年8月6日出道,当年的三小只,如今已成为天团.

头像古风女生唯美仙气 绝美超有仙气的古风女头图片_女生动漫头像

好喜欢蛊江山(比心比心)图片来源于微博:小皮球最新发的谷江山新照

justin黄明昊

风很温柔,花很浪漫79 梦幻花园 摄影壁纸 web: kelvin李

创造营选手名单

《京剧脸谱》运用传统戏曲元素,采用对称的方式绘制脸谱并考虑色彩