虎牙矫正前后对比图

相关图片

漫漫正畸路.#牙齿正畸##牙齿矫正##牙套毕业# #前后对比 - 抖音

龅牙嘴凸没下巴,牙齿矫正对外貌的变化有多大?

25岁大龄矫正前后对比(图片比较辣眼,所以换成黑白色)

矫正前后面像对比

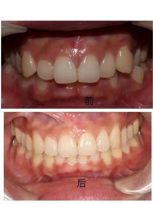
牙齿矫正前后

随机推荐

这就是同事口中的大饼脸,之前觉得没什么,看到现在的.

樊梨花,孙耀琦

送你一波鬼刀头像

凤花臂_纹身图案手稿图片_blazing的纹身作品集

废水利用装置冲马桶二次阀净水器废水回收机器纯储水桶箱坐便家用

《孤注一掷》播出的时候,很多网友都磕金晨饰演的"梁安娜"和孙阳饰演

小朋友在喝牛奶

日本动漫家宫崎骏,其作品《千与千寻》,如何实现口碑票房双赢?