肺隔离症的影像表现ppt课件

相关图片

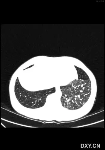
肺隔离症影像表现

右肺下叶肺隔离症一例-中国期刊网

肺隔离症ppt

年轻女子咳嗽,咳痰2年,病因不寻常……_肺隔离症_医脉通

【影像读片】肺隔离症?

随机推荐

王俊凯优雅绅士风高清桌面壁纸

对于媒体的疑问,黎明也并未对自己和阿wing的关系做出回应,但女儿长开

因片酬是江疏影的10倍备受争议,而网友却说太值了_钟汉良_明星_压力

钢丝棉烟花烟火网红手摇手甩烟花甩火焰钢丝棉烟花光绘打铁花烟火烟花

周星驰的电影就是他的一生,哪部剧更能凸显星爷本身?

erilles谍战电视剧光盘 风筝dvd碟片51集未删减完整版 柳云龙,罗海琼4

8部让观众心惊肉跳的恐怖幽灵视频.(添加了cc字幕)

李春当选为任丘市人民政府市长!