肩关节穿胸位图片

肩关节轻度外展,针尖沿肩峰下方,呈水平方向(与肩峰成直角),刺入关节.

图片尺寸800x913

肩部x线摄影-ppt参考课件

图片尺寸800x600

遇到肩部外伤时肩关节ct有必要做吗

图片尺寸666x370

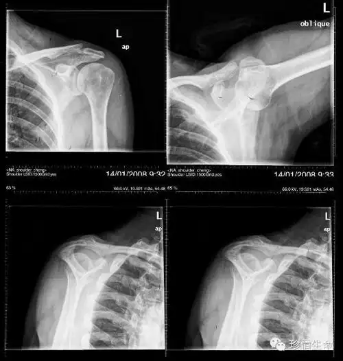
肩关节脱位3大类

图片尺寸1007x541

肩关节x线检查体位大全

图片尺寸1864x1199

肩关节x线检查体位大全

图片尺寸1854x1267

嘱受检者肩部自然下垂,双肘部屈曲,手背置于髋部,肘部前推使两肩蔡

图片尺寸1080x608

嘱受检者肩部自然下垂,双肘部屈曲,手背置于髋部,肘部前推使两肩蔡

图片尺寸1080x608

肩关节的摄影体位

图片尺寸800x600

肩关节x线检查体位大全

图片尺寸1885x1288

肩关节x线检查体位大全

图片尺寸1822x1494

收藏x线摄影技术胸部正侧位摄影标准摆位图文解析

图片尺寸1080x608

肩关节x线检查体位大全

图片尺寸613x467

肩关节x线检查特殊体位

图片尺寸960x720

肩关节x线检查特殊体位

图片尺寸960x720

肩关节x线检查体位大全

图片尺寸1822x1490

肩痛康复肩关节损伤影像诊断技巧

图片尺寸620x567

肩关节x线检查体位大全

图片尺寸536x564

山西省首例反式肩关节置换术由向川主任团队成功开展 - 好大夫在线

图片尺寸599x284

不同肩关节x线投照位

图片尺寸720x540