儿童第一双尖牙

6岁男娃长出"双排牙",无奈拔掉乳牙,医生表示和日常饮食有关

图片尺寸655x346

"每一天学一点活动"——(125)双排牙

图片尺寸362x211

12-14岁,第二磨牙;12岁,第二双尖牙;11岁,单尖牙;10岁,第一双尖牙;8-9

图片尺寸641x437

为什么孩子会长"双排牙"?医生:原因有3个,父母要重视

图片尺寸640x451

17岁男孩长尖牙,妈妈吐槽像"吸血鬼",网友:被咬一口很难辨别

图片尺寸640x261

孩子长双排牙危害大,元凶不是糖,竟然是……_儿童牙病_儿童牙病相关

图片尺寸640x410

求儿童牙齿畸形中央尖的治疗方案?

图片尺寸3456x2304

一岁宝宝牙齿牙尖切端,牙本质外露.

图片尺寸744x992

孩子长出电影中"异形"般的双排牙齿,家长惊慌:莫非宝宝是超人

图片尺寸640x853

3岁男孩长出鲨鱼牙妈妈着急送医检查医生无知的父母

图片尺寸593x559

原创7岁男孩长"双排牙",需要一颗一颗拔掉,妈妈自责不已:都怪我

图片尺寸640x480

2022年5月17日晚,上排右四第一双尖牙终于掉了,疼了好几天,一直掉不

图片尺寸750x1000

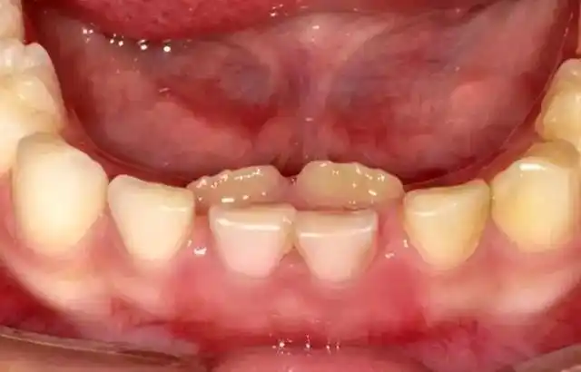
6岁男孩竟然长出"双排牙" 家长注意:皆因孩子饮食太精细 .

图片尺寸474x631

求助,八岁半的小男孩,第一双尖牙烂了,医生说等换牙,可是每天难受怎么

图片尺寸561x348

7岁孩子长出双排牙,都因奶奶有这个坏习惯,很多家长都要反思

图片尺寸2000x1332

7岁男孩长出双排牙需要一颗颗拔掉竟然是因为这个坏习惯

图片尺寸830x439

医生则表示,"双排牙"已成了儿童口腔疾病的常见病之一,大概要占到儿童

图片尺寸1080x648

急 急 急 宝宝大牙内侧又冒出个牙尖 这

图片尺寸520x390

8岁孙子长出"双排牙",医生:只能一颗颗拔掉,奶奶哭诉:都怪我

图片尺寸2048x1519

孩子为啥会长"双排牙"?跟这些坏习惯有关系,家长要了解

图片尺寸624x617